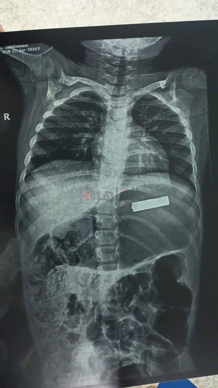
بلعتها.. تفاصيل استخراج بطارية من بطن طفلة عمرها 5 سنوات بمستشفى أبو الريش
كشف الدكتور محمد أشرف عوض، الطبيب ونائب الجراحة بمستشفى أبو الريش بـ جامعة القاهرة، تفاصيل استخراج بطارية من طفلة عمرها 5 سنوات، مشيرًا إلى أن الطفلة وصلت لاستقبال أبوالريش منذ عدة الساعة 5 فجرًا ذلك بسبب بلع جسم غريب.
استخراج بطارية من طفلة عمرها 5 سنوات
وأشار الدكتور محمد أشرف عوض الطبيب ونائب الجراحة بمستشفى أبو الريش بجامعة القاهرة في تصريحات خاصة لـ القاهرة 24، إلى أنه بعد سؤال الأهل تبين أن الجسم الغريب بطارية بها مواد كاوية حارقة، قائلًا: كان لا بد من التدخل السريع للحفاظ على سلامة الجهاز الهضمي من الحرق والانفجار.
وأكد محمد أشرف: تدخلنا في أقل من ساعة لاستخراج البطارية من بطن الطفلة، وذلك بفريق مكون من: أخصائي جراحة الأطفال بلال مسعد العزبي مع نائب الجراحة بمساعد فريق العمل اخصائي التخدير الدكتوى محمد مهدي والتمريض عمر فتحي.
عمل منظار جراحي للمعدة واستخراج البطارية
وأوضح أشرف، أنه تم عمل منظار جراحي للمعدة واستخراج البطارية منها باستخدام ألة الـ dormia basket، مردفا: بعد ذلك تم حجز الطفلة في قسم الجراحة لحين تحسنها والاطمئنان علي شفاءها والتأكد من سلامة المرئ والمعدة.
وأكد الطبيب ونائب الجراحة بمستشفى أبو الريش بـ جامعة القاهرة، أن الطفلة خرجت بعد يومين وهي بسلام وهي بصحة جيدة، قائلا: هي دلوقتي بتبلع كويس لبيتها وكأن محصلش حاجة.


