علاج التهاب اللثة سريع المفعول.. حبة واحدة تصنع لك 5 علاجات منزلية
تبحث عن علاج التهاب اللثة سريع المفعول للتخلص من الألم المزعج؟، إذًا إليك هذا التقرير الذي سيكشف لك طبيعة عمل اللثة ولماذا تلتهب وكيف يمكن علاج الالتهاب ووقف مضاعفاته؟، وكذلك العلاج المنزلي المتاح للحالات البسيطة أو مسكنات الالتهاب التي يمكن الحصول عليه من مطبخ المنزل.
علاج التهاب اللثة سريع المفعول
يمكن تطبيق علاج التهاب اللثة سريع المفعول في المنزل ولكنه يكون علاجًا أوليًا لتخفيف الألم ثم يتبعه إجراء تنظيف للأسنان من الجير لدى الطبيب، والذي دونه ستستمر أعراض التهاب اللثة في التطور، وفي الغالب تختفي الأعراض في غضون 3 أيام في الحالات العادية، ولكن ما هو التهاب اللثة وأسبابه؟.

أسباب التهاب اللثة
تبدأ أسباب التهاب اللثة عند مرحلة إهمال نظافة الفم والإسنان، حيث يوصي الأطباء بغسل الفم 3 مرات إلى مرتين يوميًا واستخدام خيط الأسنان خاصة بعد الوجبات لعدم حدوث تسوس أو التهاب في اللثة، لذلك مع الاهمال يبدأ الالتهاب والنزف والالم.
ويمكن تلخيص اسباب التهاب اللثة فيما يلي:
- إهمال التنظيف اليومي للأسنان.
- الاستخدام الخاطئ لفرشاة الأسنان أو استخدام نوعية رديئة خشنة.

- تراكم الجير على الأسنان وعدم تنظيفه عند طبيب الأسنان كل 3 أشهر على الأقل.
- تسوس الأسنان.
- دخول بقايا الطعام بين الأسنان مثل الفشار واللحوم والمكسرات وعدم تنظيفها بالخيط وبالتالي تكون بكتيريا تسبب التهاب اللثة حول الضرس والاسنان.
- حساسية الأسنان نتيجة ضعف مينا الأسنان.
- الفاكهة المجففة والحلوى القاسية والثبج عند مضغه مما يضغط على الاسنان بثوى ويلهب اللثة.
- كثرة تناول العصائر الحمضية كالليمون والبرتقال وأيضا مشروبات الطاقة لأن الأحماض والكافيين يزيلان طبقة المينا على الاسنان.
- عادة الجز على الأسنان ووجود جيوب بين الأسنان وفروق كبيرة.
أعراض التهاب اللثة
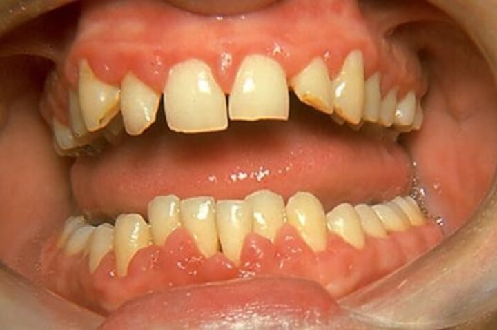
تتمثل أعراض التهاب اللثة في احمرار اللثة والتهابها أي انتفاخها، ووجود الم مستمر مع نزيف في اللثة عند غسل الأسنان أو تناول أطعمة قاسية، إلى جانب رائحة الفم الكريهة رغم التنظيف والتحسس من المشروبات الباردة والساخنة.
وكذلك من أعراض التهاب اللثة وجود ألم عند المضغ وتكون قيح بين الأسنان واللثة وبروز الأسنان بحيث تتراجع اللثة وهذا الأمر يعني تدهور حالة اللثة ما يلزم التوجه فورًا للطبيب لعدم فقد الأسنان.
أنواع التهاب اللثة بالصور
التهاب اللثة التقرحي الناخر الحاد
ينجم عن عدوى بكتيرية أو ضغوط نفسية صعبة.

التهاب اللثة الحاد الناتج عن الفطريات الشعاعية
التهاب حاد ونادر في اللثة نتيجة الإصابة بفطريات تسبب احمرار وألم وتضخم لا يستجيب للعلاجات المعتادة

التهاب اللثة الناتج عن التغيرات الهرمونية
يصيب الشباب في مرحلة البلوغ أو أثناء فترة الحمل بسبب نشاط الهرمونات وتضخم الأوعية الدموية ويزول بزوال السبب.

التهاب اللثة الناتج عن مرض السكري
من أعراض السكري جفاف الفم المسبب لالتهاب اللثة ويعالج بتنظيم مستويات السكر في الدم.

التهاب اللثة بسبب الأدوية
تسببه بعض الأدوية مثل مثبطات المناعة، ومضادات الصرع، وحاصرات قنوات الكالسيوم.

التهاب اللثة بسبب سوء التغذية
مثل الإصابة بالأنيميا ونقص فيتامين ج ويزول بالنظام الغذائي الجيد.

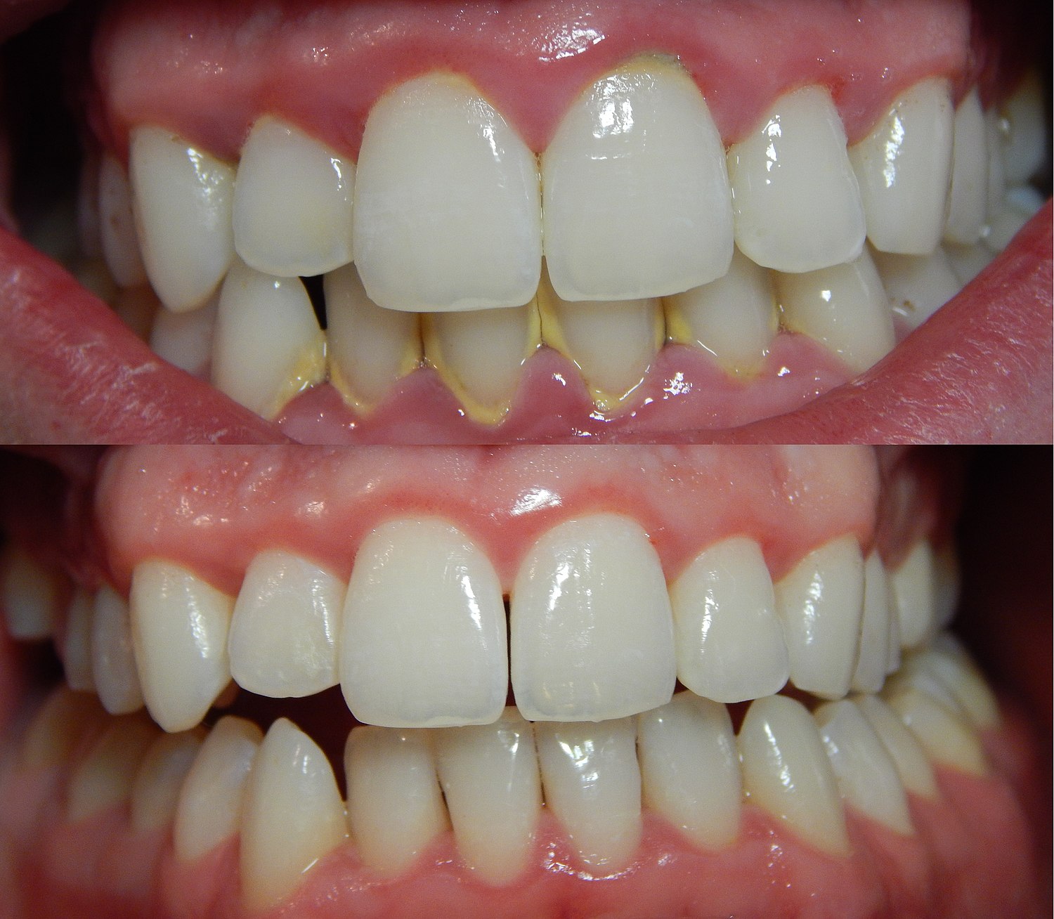
التهاب اللثة بسبب تراكم البلاك
أكثر الأنواع شيوعًا ويتراكم البلاك أو الجير بسبب الاهمال في تنظيف الأسنان وتراكم البكتريا حول اللثة ويتطلب إزالة الجير لدى طبيب الأسنان كل 3 شهور أو 6 شهور حسب سرعة تكون الجير.

التهاب اللثة المزمن
قد يكون مرضا وراثيا ويتطلب متابعة لدى طبيب الأسنان وإهمال علاجه يؤدي لفقدان الأسنان بسبب وصول الالتهاب لدواعم الأسنان.

الحمامي اللثوية الخطية
التهاب مزمن باللثة بسبب أمراض المناعة مثل السرطان أو الإيدز ويصعب علاجه.

علاج التهاب اللثة الشديد في المنزل
يمكن علاج التهاب اللثة الشديد في المنزل ما لم ينتج عن أمراض مزمنة، حيث يخفف العلاج المنزلي من ألم اللثة وتورمها بشكل ملحوظ، ومن العلاجات المنزلية لالتهاب اللثة:
- محلول الملح: عمل محلول ملحي دافئ والمضمضة به يقتل البكتريا حول اللثة ويقلل التورم والألم ويكون بإضافة ملعقة ملح طعام على نصف كوب ماء دافئ.
- القرنفل: يستخدم في أكثر من صورة وله تأثير سريع على التهاب اللثة وألم الأسنان.
- أكياس الشاي الأسود والأخضر أو الكركديه بعد نقعها في مياه مغلية ثم تصفيتها وتبريدها في الثلاجة ثم توضع على اللثة.
- غسول الصبار: تقليب هلام الصبار في مصف كوب ماء لعمل مضمضة 3 مرات يوميا.
- مضمضة الزيوت: كزيت القرنفل والشاي والزنجبيل، بوضع قطرات من اي زيت منهم على ماء دافئ 3 مرات يوميًا.

علاج التهاب اللثة حول الضرس
من المفيد في علاج التهاب اللثة حول الضرس تنظيف الاسنان جيدا واستخدام خيط الاسنان لإزالة أي عوالق بين الضروس ثم المضمضة بمحلول ملحي ووضع قطنة عليها قطرات من زيت القرنفل على محل الالتهاب أو بين الضروس لمدة ربع ساعة.
وقد يستغرق علاج اللثة من 3 إلى 14 يومًا حسب شدته ومسبباته، وتعود في الالتهاب المزمن ولكن تنظيف الأسنان جيدًا قد يمنع ظهور الاعراض مالم يوجد مرض مسبب للالتهاب.
أفضل مرهم لعلاج التهاب اللثة
هناك حالات تحتاج إلى أفضل مرهم لعلاج التهاب اللثة بجانب العلاجات المنزلية وخاصة في الحالات الحادة أو المرضى بأمراض مناعية، ومن تلك المراهم ما يلي:
- المضادات الحيوية: يصف الطبيب المضادات الحيوية الفموية في الحالات الشديدة وقد يصف جل مضاد للالتهابات لوضعه على اللثة.
- أوراكيور جل: وهو جل مخصص لأمراض الفم وتقرحاته سريع المفعول ويخفف التهاب اللثة.
- Jogel Oral Gel: وهو مرهم مصنوع من زيت الجوجوبا يعالج التهاب اللثة لاحتوائه على الليدوكين.
- داكاترين جل Daktarin Oral Gel: المادة الفعالة فيه ميكونازول المضادة للفطريات.
- بيريوكين Periokin: يقاوم الجير حول الأسنان ما يخفف أعراض ومدة علاج التهاب اللثة.

علاج التهاب اللثة بالقرنفل
يعد علاج التهاب اللثة بالقرنفل أنجح علاج شعبي متوارث وقديم الأزل، لما في القرنفل من مواد مضادة للالتهابات ومطهرة حيث يحتوي على مركب اليوجينول المكافح للبكتريا، ويمكن استخدام القرنفل بالاشكال التالية:
- مسحة القرنفل: وهي تكون بوضع زيت القرنفل مباشرة على اللثة وتركه ربع ساعة ثم شطف الفم بمحلول ملحي دافئ.
- مضمضة القرنفل: وينصح بطحن القرنفل ووضعه على الماء الساخن وتركه 10 دقائق ثم استخدامه مضمضة للفم أو وضع نقاط زيت قرنفل على مياه دافئة كمضمضة للفم 3 مرات يوميا حتى تزول الأعراض.
- قضم القرنفل: يمكن وضع حبة قرنفل بين الأسنان وسيذوبها اللعاب وينشر المادة الفعالة في الفم كله، وبعد اختفاء طعمها المميز تخلص منها.
- شاي القرنفل: وهو مشروب مطهر للجسم ويكون بغلي حبات القرنفل في مياه ساخنة حتى تتحول إلى شاي وبعد أن يبرد ويصفى يشرب المنقوع دون إضافة سكر.
- كمادات القرنفل: وهي قطنة تغمس في قليل من زيت القرنفل وتوضع على اللثة ربع ساعة ثم تنزع ويغسل الفم.
فوائد القرنفل للأسنان واللثة
وتكمن فوائد القرنفل للأسنان واللثة في أنه يكافح البكتريا المتكونة بسبب بقايا الطعام مما يمنح الفم رائحة طيبة والتخلص من الرائحة الكريهة، كما ان القرنفل يقوي الأسنان بحماية طبقة المينا من التآكل.
وللقرنفل تأثير فعال على تخفيف آلام الأسنان والضروس كما يعد حاجزا يمنع تراكم البلاك على الأسنان وتقليل فرص التسوس، وحماية اللثة من الالتهاب والنزيف والخراج.


