يضر الفم والأسنان.. تعرف على أضرار الإفراط في شرب الماء
كشفت طبيبة أمريكية تدعى إيلي فيليبس، طبيبة أسنان، في مقطع فيديو حصد ما يقرب من 14000 مشاهدة منذ نشره قبل يومين، لماذا يمكن أن يؤدي احتساء الماء طوال اليوم إلى إتلاف الأسنان، وهذا ينطبق على جميع السوائل، وفقًا لـ New York Post.
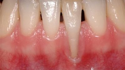
أضرار الإفراط في شرب الماء على الأسنان
وأوضحت فيليبس أن البصق أو اللعاب هو السائل الأكثر شفاءً للفم، لأنه مليء بجميع المعادن التي تحتاجها الأسنان، مثل الخلايا مناعية والبروتينات الضرورية لحماية معادن مينا الأسنان، ومنع تسوس الأسنان وأمراض اللثة.
وأشارت فيليبس إلى أنه من خلال شرب الماء طوال اليوم فهذا يخفف من اللعاب ويقلل من فوائده، وهذا هو السبب الذي يجعل الأشخاص الذين يحتسون السوائل طوال اليوم يعانون من أسنان حساسة، وانحسار اللثة، وتشقق المينا.
وحسب الخبراء، يمكن للناس التأكد من حصولهم على ما يكفي من اللعاب في أفواههم، عن طريق التنفس من خلال أنوفهم بدلًا من ذلك، لذلك من المهم للناس أن يشربوا في أوقات الوجبات أو يشربوا المزيد من الماء خلال فترة محدودة من اليوم حتى يتوفر اللعاب للوقت الكافي للتراكم في الفم.
أضرار أخرى للإفراط في شرب الماء
وفي سياق متصل، توجد أضرار أخرى للإفراط بشرب الماء، لذلك تنصح مراكز السيطرة على الأمراض والوقاية منها، الناس بعدم شرب أكثر من 6 أكواب في الساعة، لأن الإفراط في شرب الماء الذي يعرف باسم سمية الماء، يسبب نوبات الصرع.
ويؤدي انخفاض مستويات الصوديوم إلى تضخم الخلايا في الدماغ مما قد يؤدي إلى زيادة الضغط على الجمجمة، ويسبب نوبة الصرع، لذلك فإن 3.7 لتر من السوائل يوميًا للرجال و2.7 لتر للنساء يعتبر كافيا.


