أطباء مستشفى الكرنك الدولي بالأقصر ينجحون في إعادة بناء عظام وجه سيدة بعد إصابتها بالفطر الأسود
استطاع أطباء جراحة الوجه والفكين وأورام الرقبة بمستشفى الكرنك الدولي بالأقصر من إعادة بناء عظام الوجه لسيدة أربعينية بعد تآكل عدة أجزاء منها نتيجة الإصابة بالفطر الأسود جراء جائحة كورونا.
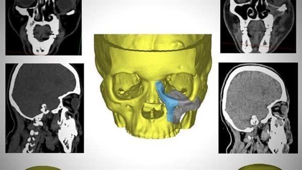
وقال بيان لهيئة الرعاية الصحية، إن السيدة جاءت للمستشفى وهي تعاني من تسوس وتآكل بعظام الوجه وحجاج العين مما استدعى مثول السيدة للعديد من الجراحات التي أدت في النهاية لتشوه عظام الوجه على مدار 4 سنوات من المعاناة، وفقدت السيدة الأمل في مواجهة تحديات كبيرة نتيجة تشوه الوجه ورفض الكثير التدخل الجراحي.

وأضاف البيان، أن قسم جراحة الوجه والفكين بمستشفى الكرنك الدولي اتخذ القرار الطبي بعد استقرار حالة المريضة والمتابعة المستمرة للتأكد من إمكانية التدخل باستخدام التقنيات الحديثة لإعادة البسمة والأمل والثقة للسيدة في علاج التشوه الشديد بالوجه.


جراحة استغرقت 6 ساعات
وأشار البيان إلى استخدم القسم تصميم معقد مصنوع من مادة الـpeek والمستخدمة حديثًا في استيعاض عظام الوجه وذلك من خلال جراحة دقيقة استغرقت حوالي 6 ساعات.

جدير بالذكر أن قسم جراحة الوجه والفكين وأورام الرقبة بمستشفى الكرنك الدولي بالأقصر يشارك حاليًا في بحث عالمي بالتعاون مع كلية الطب جامعة سوهاج لتطبيق تكنولوجيا الكاد - كام في الاستعاضة الصناعية لعظام الوجه والجمجمة.


