بـ الأشعة السينية.. البعثة الإسبانية بالأقصر تبدأ في تحليل الفخار المُكتشف حديثا| صور
عملت البعثة الإسبانية العاملة بالبر الغربي في محافظة الأقصر، على تحليل الفخار المُكتشف وذلك باستخدام الأشعة السينية، وفقًا لـ مصادر القاهرة 24 بمنطقة البر الغربي بالأقصر.
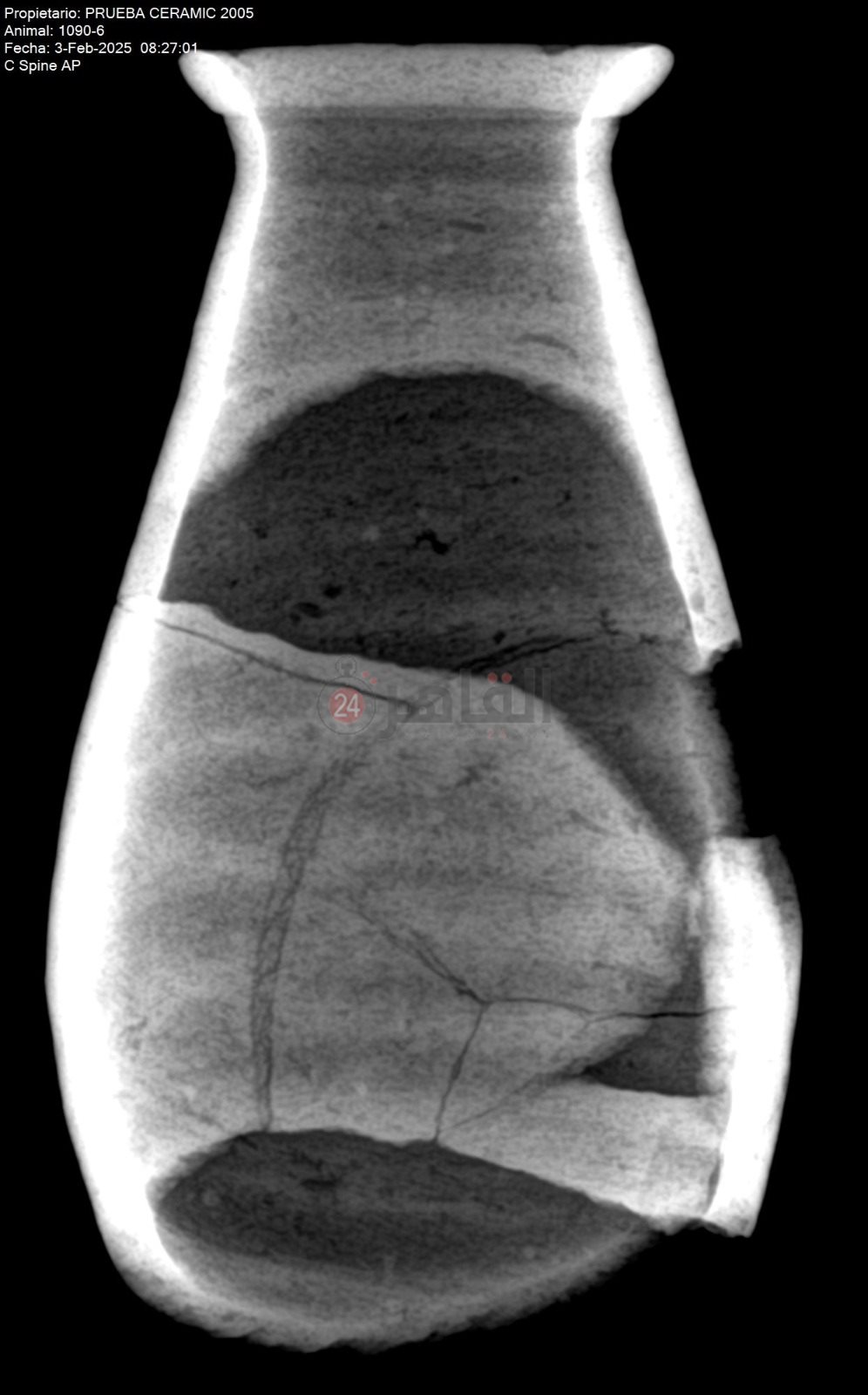
وأضاف المصدر، أن تحليل الفخار بـ الأشعة السينية كشف عن مراحلها المختلفة، وتم دراسة رواسب أكواب خاصة من الفخار وتم البدء في ترميمها، وجاءت صورها كالتالي:
سبق وكشفت البعثة الإسبانية العاملة بالبر الغربي في محافظة الأقصر، عن بيض محنط لطائر أبو منجل ويشبه إلى حد كبير طائر أبو قردان في الوقت الحالي، وذلك خلال أعمال الحفائر الخاصة بها في أماكن مختلفة من أمام إحدى مقابر البر الغربي بالأقصر، وتحديدًا في منطقة ذراع أبو النجا.
حفائر أعمال البعثة الإسبانية بمحافظة الأقصر
يذكر أن البعثة الإسبانية تعمل في منطقة حفائر الفناء المفتوح للمقبرة رقم TT 11 للمدعو جحوتي، وأن مقبرة جحوتي تأخذ في التخطيط حرف T، وهو التخطيط المتبع في مقابر الأسرة الثامنة عشرة؛ حيث تتكون من مدخل وصالة للأعمدة ثم بئر الدفن، وللبعثة الإسبانية أعمال حفائر واكتشافات كبرى، ومنها عصا أوشابتي عليها نقوش باللغة المصرية القديمة، والأوشابتي هو تمثال آدمي صغير، تحل محل المتوفى في أعمال؛ لا بد أن يقوم بها بنفسه في العالم الآخر، وسميت stick shapti لأنها كانت من الخشب، وتشبه العصيان، وتم العثور على عدد مميز منها من منطقة دراع أبو النجا بمدينة الأقصر.


