شاب مصاب بالتليف الرئوي يستغيث: محتاج زراعة رئتين.. وتكلفة العملية 14 مليون جنيه
استغاث شاب يدعى محمد إبراهيم محمد سلطان، يبلغ من العمر 32 عامًا، من محافظة الشرقية، وذلك بعد ما واجه صعوبة في جمع التبرعات لإجراء جراحة زراعة الرئة، إذ يعاني الشاب محمد إبراهيم من مرض التليف الرئوي منذ 5 سنوات.
وقال محمد إبراهيم محمد سلطان، مريض التليف الرئوي، في تصريحات خاصة لـ القاهرة 24: جرى تشخيصي بمرض التليف الرئوي عام 2020، وفي بداية الأمر تم تشخيصي بعدوى فيروس كورونا، وحينها كان التشخيص خاطئ، ووصف لي الأطباء أدوية مسكنة وخافض للحرارة وعلاج لتخفيف الأعراض.

شاب مصاب بالتليف الرئوي يستغيث
وأضاف محمد إبراهيم محمد سلطان: الدكتور قالي اتعزل عن أهل بيتك عشان عدوى فيروس كورونا، ولكن أنا كنت بمارس حياتي بشكل طبيعي، وكنت عايش مع أهلي عادي وبنزل الشغل كل يومن ومحدش من المخالطين بيا أصيب بالعدوى، ولكن التعب كان بيزيد عليا، ولما روحت لدكتور تاني طلب أشعة مقطعية وبالفعل تبين إني مصاب بمرض التليف الرئوي.

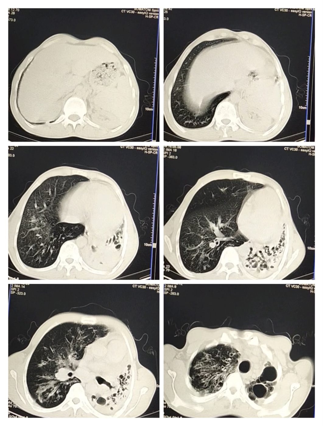
وأكمل محمد إبراهيم محمد سلطان، مريض التليف الرئوي بالشرقية: الدكاترة قالولي لازم تفضل على الأكسجين وممنوع التعرض لـ الروائح والإجهاد، وفعلًا وقفت شغل من سنة 2020، مضيفًا: الرئة الشمال توقفت عن العمل ومتليفة بشكل كامل، والرئة اليمين شغالة بنسبة 30%، أنا كنت شغال استورجي موبيليا وكان عندي ورشة، والآن عايش على معاش والدي، لإني أجلس على مولد أكسجين بالمنزل، ومحتاج لعملية زراعة رئتين.
وواصل محمد إبراهيم: أنا محتاج أعمل عملية زراعة رئة، وفاتح حساب جمع تبرعات تحت إشراف وزارة التضامن الاجتماعي، أهل بلدي ساعدوني في جمع 200 ألف جنيه من التبرعات، وبعد فتح الحساب جمعت 65 ألف جنيه، ولكن تكلفة عملية زراعة الرئة تبلغ نحو 14 مليون جنيه ومكان إجرائها في مستشفى بالإمارات، وتحديدًا مستشفى كليفلاند كلينك في أبو ظبي.






