حشيش الوقفة.. مسئول بمستشفى الزيتون التخصصي يحذر: استقبلنا حالات خطيرة لشباب كادوا أن يفارقوا الحياة
حرص الدكتور حلمي عبد الرحمن، رئيس قسم أمراض القلب ومختبر القسطرة بمستشفى الزيتون التخصصي، على توجيه تحذير بشأن تزايد حالات الطوارئ القلبية الحادة بين الشباب خلال أيام عيد الأضحى المبارك، مشيرًا إلى وجود عامل مشترك خطير بين معظم الحالات، وهو تعاطي الحشيش، الذي يُطلق عليه البعض حشيش العيد.

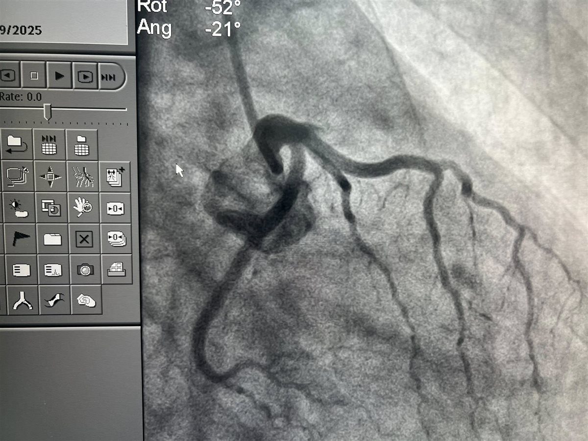
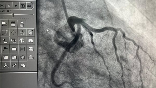
وقال في منشور له عبر حسابه على موقع التواصل الاجتماعي فيس بوك مرفقا بعدد من الصور للفحوصات الخطيرة للشباب: خلال ثلاثة أيام فقط من عيد الأضحى، استقبلنا بالمستشفى 13 حالة طوارئ مصابة بجلطات حادة في القلب، وجميعها من فئة الشباب الذين لا يعانون من أي أمراض مزمنة أو عوامل خطر تقليدية كارتفاع ضغط الدم أو مرض السكري، والعامل المشترك الوحيد بينهم كان تعاطي الحشيش.
وأضاف رئيس قسم القلب بمستشفى الزيتون التخصصي: الحالة الرابعة عشرة كانت لشاب بدأ يعاني من صعوبة في التنفس منذ أربعة أيام، وتلقى علاجًا مدرًا للبول في مستشفى أخرى، مما أدى إلى نقص شديد في مستوى البوتاسيوم في الدم، متابعًا: وعند وصوله إلينا، كان يعاني من ارتشاح شديد في الغشاء التاموري أدى إلى هبوط حاد في كافة العلامات الحيوية، وتم إنقاذه بعد إجراء سحب طارئ لحوالي 600 مل من السائل المتجمع حول القلب.
خطورة تعاطي الحشيش بالتزامن مع الأعياد

وتابع حلمي راصدًا حجم المعاناة: كما استقبلنا شابًا يبلغ من العمر 28 عامًا، لا يعاني من أي أمراض مزمنة، لكنه أصيب بجلطة حادة بالقلب وكان الشريان التاجي في حالة سيئة جدًا لا تتناسب مع سنه، وفي حالة أخرى، شاب في الثانية والثلاثين من عمره خرج من مستشفى بعد فحص أولي طبيعي، لكن مع أول رسم قلب عندنا ظهر ارتفاع ST واضح، وتبين في القسطرة أن الشريان التاجي الأمامي النازل كان غير ظاهر تمامًا، وكدنا نظن أنه غير موجود، لكننا بفضل الله وبتعاون فريق القلب في المستشفى استطعنا تحديده وتوسيعه وتركيب دعامة لإنقاذ حياته.

وشدد رئيس قسم القلب، على خطورة ربط الشباب بين تعاطي الحشيش وموسم الأعياد، قائلًا: هذه الحالات وغيرها تستدعي منا دق ناقوس الخطر، تعاطي الحشيش لم يعد مجرد سلوكًا ترفيهيًا غير مسؤول، بل بات عامل خطر رئيسي في التسبب بجلطات قلبية حادة لدى شباب لا يعانون من أية أمراض مزمنة، ونحن أمام تحدٍ طبي واجتماعي يتطلب التوعية والدراسة والرقابة.


