وفاة صغير في أمريكا تكشف خطورة مضاعفات الحصبة بعد سنوات من الإصابة
شهدت مدينة لوس أنجلوس الأميركية وفاة صغير في سن الدراسة إثر إصابته باضطراب دماغي نادر وخطير يُعرف باسم التهاب الدماغ الشامل المصلب شبه الحاد SSPE، والذي يمكن أن يتطور بعد سنوات من الإصابة بفيروس الحصبة.
وفاة صغير في أمريكا تكشف خطورة مضاعفات الحصبة بعد سنوات من الإصابة
الصغير أُصيب بالحصبة وهو رضيع قبل أن يكون مؤهلًا لتلقي لقاح الحصبة والنكاف والحصبة الألمانية MMR.
بعد مرور قرابة عقد من الزمن، تطور لديه مرض عصبي قاتل أدى إلى وفاته مؤخرًا.
تُشير مراكز السيطرة على الأمراض والوقاية منها CDC، إلى أن هذه الحالة تُعد ثالث وفاة مرتبطة بالحصبة في الولايات المتحدة هذا العام
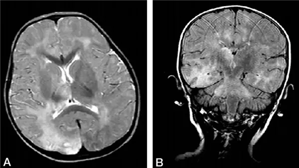
ما هو SSPE؟
مرض عصبي نادر يحدث نتيجة بقاء فيروس الحصبة في الجسم مع حدوث طفرات لاحقة، وتظهر أعراضه عادةً بعد 6 – 10 سنوات من الإصابة الأصلية.
والأعراض تبدأ بتغيرات في السلوك والذاكرة، ثم تتطور إلى تشنجات، حركات لا إرادية، تلف شديد في الدماغ، ثم الوفاة.
ونسبة الوفاة تصل إلى 95%، ولا يوجد علاج فعال حتى الآن، باستثناء بعض الأدوية التي قد تُبطئ من تطور المرض.
أهمية اللقاح
لقاح MMR فعال بنسبة 97% ويُقدّر أنه منع أكثر من 60 مليون وفاة عالميًا بين 2000 و2023، ويُعطى للأطفال على جرعتين، الأولى بين عمر 12 – 15 شهرًا، والثانية قبل دخول المدرسة، وتراجع معدلات التطعيم بعد جائحة كورونا زاد من خطر عودة الحصبة وانتشارها.
وفي بيان رسمي، أكد الدكتور مونتو ديفيس، مسؤول الصحة في مقاطعة لوس أنجلوس، وهذه الحالة بمثابة تذكير مؤلم بخطورة مرض الحصبة، وخاصة على الأطفال غير المؤهلين بعد للتطعيم، والتطعيم لا يحمي الفرد فقط، بل يحمي المجتمع بأسره.


