كلية الطب بجامعة الإسكندرية: استخراج مقذوف بالتجويف الصدري لمريض فلسطيني مصاب من قطاع غزة
كشف الدكتور تامر عبد الله، عميد كلية الطب ورئيس مجلس إدارة المستشفيات الجامعية بالإسكندرية، نجاح فريق من أطباء قسم جراحة القلب والصدر والتخدير والمعاونين من إجراء جراحة دقيقة بالغة الخطورة لأحد المرضى المحجوزين من قطاع غزة.
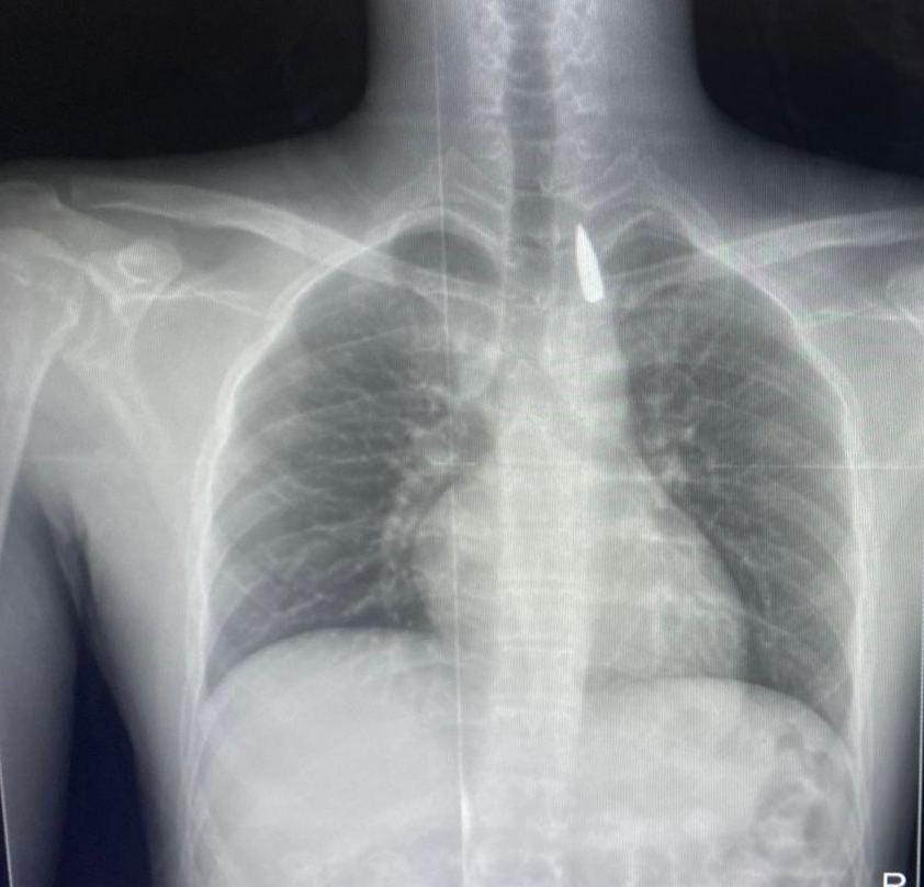
تفاصيل استخراج مقذوف من مريض فلسطيني
وأوضح تامر عبد الله أن المريض كان قد تعرض لإصابة بطلق ناري في الرأس منذ فترة، استقر المقذوف على إثرها داخل تجويف القفص الصدري قرب الشريان الأورطي، وهو أكبر وأهم شرايين الجسم والمسؤول عن تغذية جميع الأعضاء الحيوية.


وأضاف أن الفريق الطبي، رغم دقة الحالة وتعقيدها، نجح في استخراج المقذوف بأمان بعد عملية جراحية نادرة استمرت عدة ساعات داخل المستشفى الجامعي الجديد، بتاريخ 21 أكتوبر الحالي، حيث خضع المريض بعدها للرعاية الطبية اللازمة، وحالته حاليًا مستقرة وتحت المتابعة الدقيقة من الفريق المختص.
وأعرب الدكتور عبد العزيز قنصوة، رئيس جامعة الإسكندرية، عن فخره بهذا النجاح الذي يجسد الكفاءة العالية للفريق الطبي بالمستشفيات الجامعية، مؤكدًا أن الجامعة تولي اهتمامًا بالغًا بدعم القضايا الإنسانية وبتقديم الرعاية الصحية المتكاملة للأشقاء العرب.
وأشار إلى أن هذا الإنجاز يعكس المكانة الطبية والعلمية المتميزة لجامعة الإسكندرية، وقدرتها على التعامل مع العمليات المعقدة والحالات الدقيقة وفق أعلى معايير الجودة والرعاية الصحية.
وتؤكد جامعة الإسكندرية استمرارها في توفير الدعم الطبي والعلاجي للحالات المحولة إليها، انطلاقًا من دورها الوطني والإنساني ورسالتها في خدمة المجتمع ودعم الأشقاء العرب في مختلف المواقف.



