طوله 6 سم..إنقاذ طفلة ابتلعت مسمارًا بمستشفى الأطفال التخصصي ببنها
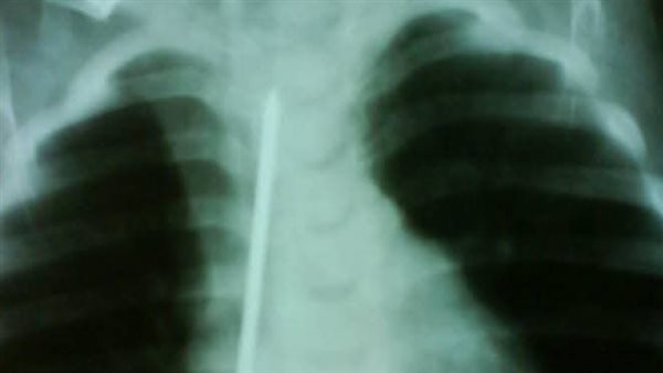
تمكن فريق طبي بمستشفى الأطفال التخصصي ببنها، بمحافظة القليوبية، من إنقاذ حياة طفلة ابتلعت مسمارًا بالخطأ، واستقر بالقفص الصدري، حيث أجرى فريق جراحة الأطفال بالمستشفى جراحة عاجلة لطفلة تبلغ من العمر عامًا ونصف ابتلعت مسمارًا معدنيًا بطول 6 سنتيمترات دون أن تظهر عليها أي أعراض أو مضاعفات خطيرة.
وأوضح الدكتور هيثم نصر، استشاري جراحة الأنف والأذن بمستشفى الأطفال التخصصي ببنها، أن المستشفى شهدت حالة من أغرب الحالات الطبية التي مرت عليه منذ عدة سنوات، لطفلة تبلغ من العمر عامًا ونصف ابتلعت مسمارًا معدنيًا بطول 6 سنتيمترات دون أن تظهر عليها أي أعراض أو مضاعفات خطيرة.
وأوضح الدكتور هيثم أن الطفلة كانت تلعب بمسمارين داخل المنزل، وعندما لاحظت والدتها اختفاء أحدهما بدأت في البحث عنه، فوجدت مسمارًا واحدًا فقط، بينما اختفى الآخر تمامًا، فقررت الذهاب إلى المستشفى للاطمئنان على ابنتها.
وأضاف قائلًا: "كانت الطفلة في حالة طبيعية تمامًا، تتنفس بشكل جيد ولا تعاني من أي صعوبة في البلع، لكن أمام إصرار الأم على أنها بحثت جيدًا في المنزل، قررت إجراء أشعة على صدر الطفلة، لتظهر المفاجأة الصادمة مسمار طويل يمتد بطول القفص الصدري تقريبًا."
وأشار إلى أنه تم إدخال الطفلة إلى غرفة العمليات على الفور، وتمكن الفريق الطبي من استخراج المسمار بنجاح، دون حدوث أي إصابة أو مضاعفات.
واختتم الدكتور هيثم نصر حديثه قائلًا: "المحير في الأمر هو كيف تمكنت الطفلة من إدخال المسمار عبر الفم والبلعوم والحنجرة والقصبة الهوائية دون حدوث جرح أو اختناق، فلكي يمر جسم بهذا الطول، يجب أن تكون هذه الأجزاء جميعها على خط واحد، وأن تبقى الأحبال الصوتية مفتوحة طوال الوقت.
إنها بالفعل قدرة إلهية ومعجزة تستحق التأمل.. سبحان الله.".




