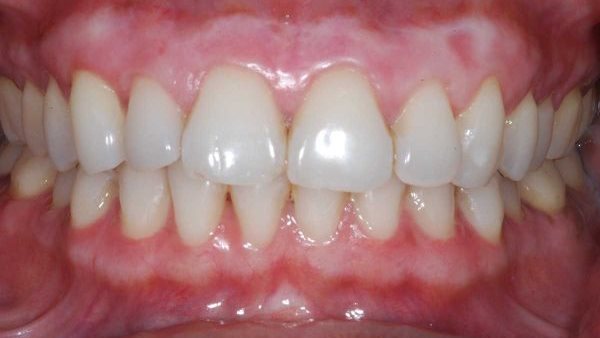
طبيب أسنان: انتبه من تحول اللثة إلى اللون الأبيض
تغير لون اللثة للابيض بالكامل أو ظهور بقع بيضاء عليها من الوارد ان يكون امرا طبيعيا وبسيط وربما يكون مؤشرا لمشاكل صحية.
أوضح دكتور ” عمرو كريم ” طبيب جراحة الفم والأسنان عن اسباب التهاب اللثة:
– تنظيف الاسنان بطرق عشوائية غير صحيحة، مثل خيط الأسنان والتنظيف بدبوس حديدي ، يسبب ذلك تواجد بكتيريا تقوم بتحويل اللثه للون الابيض .
-زيادة صبغة الميلانين في اللثة .
-عدم العناية بنظافة الفم والأسنان .
-قرح أو خراج نتيجة الخلع الضروس او لاسباب الاخري.
-المبالغة في التدخين.
-تبييض الأسنان فيمكن للمواد الكيميائية أن تعمل على تغيير لون اللثة.
-مرض فطري : بسبب نقص المناعة ، أو الإفراط في استخدام المضادات الحيوية.
-الصداف: بسبب عادات فموية خاطئه ، مثل الشخص الذي يتناول المخدرات ويقوم بوضعها في أماكن معينة في الفم أو تحت اللسان .
وأضاف دكتور عمرو أن مؤشر الخطر يكمن في احتمالية مرض السرطان ، فقد تشير بياض اللثة واحمرارها بشكل مبالغ فيه إلى وجود هذا المرض.
نصائح للحفاظ على سلامة اللثة والأسنان في فصل الشتاء (روشتة طبية)
واوضح ان قرح وبقع الفم يمكن علاجها في فترة تتراوح بين اسبوع واسبوعين ولكن احذر اذا كانت لا تزول خلال 14 يوما فعليك بزيارة الطبيب .
علاج اللثة البيضاء :
-تغييرات الغذائيه والاستعانة بفيتامين ب 12 وفيتامين سي .
-يعالج بطريقة تحفظية يقوم فيها الدكتور بوضع صبغة معينة، وملاحظة المريض وتحديد ان كان سرطان أو مجرد رقع بيضاء على اللثة .
-جيل دايركتين أو مضاد حيوي باستشارة الطبيب .


